For patients in the United States and the United Kingdom, full mouth dental implants are often seen as the gold standard for replacing missing or failing teeth. However, the high cost, long waiting times, and complex treatment processes at home have led many patients to explore alternatives abroad. This is where full mouth dental implants Turkey package deals have become a leading option in global dental tourism.
Turkey has rapidly earned a reputation as a trusted destination for advanced dental care, combining affordability, medical expertise, and a seamless treatment experience for international patients.
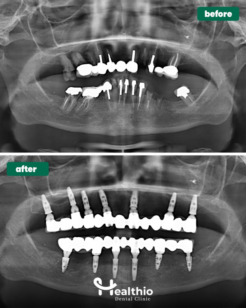
Understanding Full Mouth Dental Implants
Full Mouth Dental Implants Turkey Package Deals are a comprehensive restorative solution designed to replace an entire arch—or both arches—of teeth using a fixed, implant-supported prosthesis. Unlike removable dentures, implants are anchored into the jawbone, providing exceptional stability, function, and a natural appearance.
Popular full mouth solutions include:
- All-on-4 dental implants
- All-on-6 dental implants
- Customized full arch implant bridges
These treatments restore chewing efficiency, speech clarity, facial structure, and overall confidence.

Why Full Mouth Dental Implants Are So Expensive in the US & UK
In the US and UK, full mouth dental implant treatment can cost anywhere between $25,000 and $60,000 per jaw. Several factors contribute to these high prices:
- Elevated clinic operating costs
- Insurance limitations or lack of coverage
- Multiple specialist fees
- Extended treatment timelines
As a result, many patients delay treatment or settle for removable dentures—despite wanting a permanent solution.
Why Turkey Leads the Way in Dental Tourism
1. Affordable Treatment Without Compromising Quality
One of the main reasons patients search for full mouth dental implants Turkey package deals is cost efficiency. Turkey offers the same advanced procedures at a fraction of US and UK prices—often up to 70% less—while maintaining international clinical standards.
Lower operational costs, favorable exchange rates, and a strong medical tourism infrastructure make this possible.
2. Highly Experienced Implant Dentists
Turkish implant dentists are known for their extensive hands-on experience, especially in full mouth restorations. Many complete advanced training programs in Europe and work with globally recognized implant systems.
Clinics that focus on international patients often perform hundreds of full arch cases annually—an experience level that directly contributes to predictable outcomes.
3. Advanced Technology & International Standards
Leading dental clinics in Turkey are equipped with:
- 3D CBCT imaging
- Digital treatment planning
- Computer-guided implant placement
- Premium implant brands approved in the US and UK
These technologies improve accuracy, reduce treatment risks, and shorten recovery times.
What Are Full Mouth Dental Implants Turkey Package Deals?
Package deals are designed specifically for international patients to eliminate uncertainty and simplify planning. Instead of paying for each service separately, patients receive a clearly defined, all-inclusive treatment plan.
Typical package inclusions may involve:
- Online consultation and preliminary assessment
- Diagnostic imaging and clinical examinations
- Dental implant placement
- Temporary fixed teeth
- Permanent full arch prosthetics
- Local anesthesia or sedation
- Airport transfers
- Hotel accommodation
- Dedicated patient coordinator
- Post-treatment support
For US and UK patients, this structured approach reduces stress and ensures transparency.
Is It Safe to Get Full Mouth Dental Implants in Turkey?
Safety is understandably a top concern when traveling abroad for medical treatment. The key is choosing the right clinic.
Reputable dental clinics in Turkey operate under strict sterilization protocols and follow internationally accepted infection control guidelines. When combined with experienced clinicians and high-quality materials, treatment safety is comparable to—if not exceeding—many Western clinics.
Patients are encouraged to verify credentials, review before-and-after cases, and request detailed treatment plans before traveling.
Treatment Timeline for International Patients
Full mouth dental implant treatment is usually completed in two main visits:
First Visit (5–7 days)
- Comprehensive examinations
- Implant surgery
- Placement of temporary fixed teeth
Healing Phase (3–6 months)
- Implants integrate with the jawbone
Second Visit (5–7 days)
- Final impressions
- Placement of permanent full arch prosthesis
This flexible structure allows US and UK patients to travel conveniently while achieving long-term results.

Who Is a Suitable Candidate?
You may be an ideal candidate if you:
- Have multiple missing or severely damaged teeth
- Are unhappy with removable dentures
- Seek a permanent, fixed solution
- Are in good general health
- Have adequate bone or are eligible for grafting
Even patients with bone loss are often treatable thanks to modern implant techniques.
Beyond Dentistry: The Turkey Experience
One unique advantage of dental tourism in Turkey is the opportunity to combine treatment with recovery in a culturally rich and hospitable environment. Many patients appreciate the chance to rest, heal, and enjoy Turkish hospitality during their stay—something rarely associated with dental care at home.
Final Thoughts: Are Full Mouth Dental Implants Turkey Package Deals Worth It?
For thousands of patients from the US and UK, the answer has already been yes.
Full mouth dental implants Turkey package deals offer a rare combination of affordability, advanced care, experienced clinicians, and organized treatment journeys. When approached thoughtfully and with the right clinic, dental tourism in Turkey can be a life-changing decision—both medically and financially.
If you are seeking a permanent solution for missing teeth without the overwhelming costs of treatment at home, exploring full mouth dental implants in Turkey may be the smartest next step toward restoring your
Talk to Our International Patient Care Team
English-speaking coordinators, transparent communication, and full support from start to finish.
This content is for informational purposes only and does not constitute medical advice. Treatment suitability, outcomes, timelines, and costs for full mouth dental implants may vary based on individual clinical evaluation. A consultation with a qualified dental professional is required before any treatment decision. Results are not guaranteed.